Cosmetic Surgery

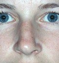
Facial blood vessels – Vbeam Case 1

Laser Vascular Therapies Before & After Photos

Back to top

Our Promise

Our team of renowned physicians and experienced support staff is committed to excellence in medical skin care and cosmetic procedures with a patient-centered focus for women and men in the greater Boston area and beyond.

Request a Consultation

Contact Us

The form below should not be used by patients to communicate clinical questions to SkinCare Physicians. It is not a patient portal. If your message is of an urgent, clinical or confidential nature, please call us instead at 1-617-383-8201.

Fields marked * are required


Terms of Use*
By checking the box on the contact form, you agree to the Terms of Use listed here: Communications through our website or via email are not encrypted and are not necessarily secure. Use of the internet or email is for your convenience only, and by using them, you assume the risk of unauthorized use. By checking this box you hereby agree to hold SkinCare Physicians, its doctors and affiliates, harmless from any hacking or any other unauthorized use of your personal information by outside parties.
This site is protected by reCAPTCHA and the Google Privacy Policy and Terms of Service apply.
Physician society logos

SkinCare Physicians®

1244 Boylston Street (Route 9)
Chestnut Hill, Massachusetts 02467

Learn more about your rights and protections related to the No Surprises Act (HR133).

The dermatologists and other medical professionals at SkinCare Physicians specialize in a wide range of dermatology treatments and services, including laser hair removal, laser skin treatment, hair transplant, eyelid surgery, body contouring, psoriasis, skin cancer, BOTOX® Cosmetic, fillers, and Thermage®. From their offices in Chestnut Hill, they serve Boston, Brookline, Cambridge, Newton and Wellesley.

Keep in mind that each patient is unique and your results may vary.



SkinCare Physicians®
1244 Boylston Street (Route 9)
Chestnut Hill, Massachusetts 02467

Phone: (617) 731-1600 Fax: (617) 731-1601

Learn more about your rights and protections related to the No Surprises Act (HR133).

Keep in mind that each patient is unique and your results may vary.

The dermatologists and other medical professionals at SkinCare Physicians specialize in a wide range of dermatology treatments and services, including laser hair removal, laser skin treatment, hair transplant, eyelid surgery, body contouring, psoriasis, skin cancer, BOTOX® Cosmetic, fillers, and Thermage®. From their offices in Chestnut Hill, they serve Boston, Brookline, Cambridge, Newton and Wellesley.